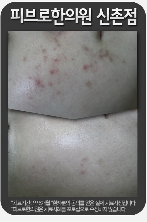
여드름자국 없애는방법 확실하게 하자!
얼굴에 붉고 거무스름한 여드름자국들.
피부에 좋다는거 마구마구 발라봐도 왜 없어지지 않는 것일까요?
여드름이 없어지는 과정에서 망가지는 피부 재생조직,
그 재생력을 다시 끌어올리는 여드름자국 없애는방법이라면
언제든 밝고 맑은 피부로 돌아갈 수 있어요!


전국 20개 네트워크 피브로한의원에서는
피부 속에서부터 아기피부가 재생될 수 있도록
체계적인 한방 여드름자국 없애는방법 치료를 진행한답니다.
여러 침구치료와 미세침, 필링 치료를 통해
여드름자국이 있기 전 피부로 돌아가보세요!


원장님의 한 땀 한 땀 수기치료를 통하여
여드름자국 뿐만 아니라 흉터와 넓어진 모공,
미백, 탄력까지 동시에 바로잡을 수 있는 치료!
전체적으로 맑은 피부가 다시 내 얼굴에 올라오면서
깨끗한 피부를 되찾으실꺼에요!





지금, 가까운 전국 20개 피브로한의원과 함께
잃어버린 내 꿀피부를 되찾아보시기 바랍니다.
- 피브로한의원은 모든 치료를
내 진단결과에 따른 "1:1 맞춤 여드름자국 없애는방법"으로 진행합니다.
(위 이미지 클릭시 여드름자국 없애는방법 이벤트 페이지로 이동합니다! ^^)


다음글
지루성피부염 치료..
이전글
탈모치료한의원 비..

